Wie mijn blog al wat langer volgt, weet dat schouderklachten een hardnekkig terugkerend thema in mijn leven zijn. Ik heb er al vaak over geschreven: de chronische pijn, mijn bezoekjes aan chiropractors, de steun van de sportschool – en natuurlijk, de heilzame kracht van een goede massage. Maar eindelijk heb ik nu duidelijkheid over de échte oorzaak van mijn klachten.
Ik wist al jaren dat mijn houding niet perfect is. Ik loop wat voorovergebogen en mijn postuur is niet bepaald recht als een liniaal. Maar nu heb ik eindelijk fysiek bewijs in handen: een röntgenfoto die onomstotelijk aantoont wat er aan de hand is.

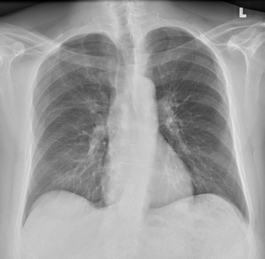
Iedere paar jaar moet ik mijn verblijfsvergunning verlengen. Daar hoort standaard een medische keuring bij, inclusief een bloedtest (om te laten zien dat ik geen HIV heb) en een longfoto om tuberculose uit te sluiten. Meestal krijg ik dan een keurige brief van de dokter waarin staat dat alles in orde is. Maar dit keer ging het anders: ik kreeg een sms met een link naar een app waarin ik zelf de uitslag kon inzien. En daar stond het: mijn longen zijn schoon, mijn ribben heel… maar ook: “thoracic scoliosis convex to the left.”
Met andere woorden: ik heb een verkromming in mijn bovenrug, naar links. Eindelijk weet ik dus waar de pijn vandaan komt, en dat betekent dat ik nu gericht aan de slag kan – met speciale oefeningen en gerichte therapie – om mijn houding te verbeteren en hopelijk de pijn structureel te verminderen. Gelukkig is de verkromming relatief makkelijk te corrigeren.
Over dat bezoekje aan het medisch centrum trouwens nog een grappig moment. Nadat de huisarts bloed had afgenomen en me had doorverwezen voor de röntgenfoto, kon ik meteen terecht. Ik sprong in de metro en voor ik het wist stond ik alweer in de lift naar beneden. Die zat aardig vol, onder andere met een moeder en haar huilende peuter van een jaar of twee. Ik vroeg hem zachtjes: “Wat is er aan de hand?” Tot hilariteit van de hele lift probeerde het jongetje tussen zijn tranen door uit te leggen wat hem dwarszat – hij wees dramatisch naar boven en jammerde verder. Ik liet hem de pleister op mijn arm zien van het bloedprikken en zei: “Kijk, ik heb ook pijn.” Opeens was het huilen voorbij. Een andere man in de lift grapte: “En hij huilde niet!” Waarop ik grijnzend antwoordde: “Dat weet jij helemaal niet, hoor!” De hele lift lag dubbel van het lachen. Soms maken kleine momenten je dag.
Maar goed, terug naar mijn schouder. Onlangs waren Cindy en ik weer in Johor, Maleisië, en als we daar zijn, proberen we altijd even een massage mee te pakken. Dit keer gingen we naar een massagesalon die we al kenden – een fijne combinatie tussen een Chinese massage (krachtig, met veel drukpunten) en een Thaise olie-massage. Voor de duidelijkheid: een Thaise olie-massage is iets héél anders dan een traditionele Thaise massage waarbij ze je in de knoop proberen te leggen alsof je een menselijke origami bent. Olie-massages zijn rustiger, meer ontspannend, en dit keer precies wat mijn rug nodig had. Ik was wekenlang pijnvrij.
Inmiddels is de pijn weer wat terug, maar gelukkig staat er komend weekend een nieuw tripje naar Johor op de planning – en daarna nog een paar dagen Kuala Lumpur. En dat betekent: meer massages, meer ontspanning, en hopelijk weer even pijnvrij.
